
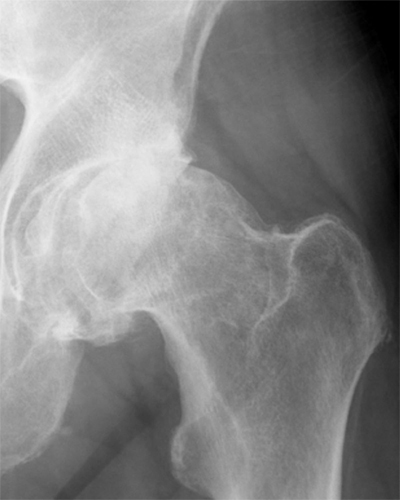
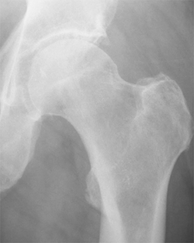
Coxarthrose
Die Arthrose ist eine Erkrankung des Gelenkes, bei der die knorpeltragende Schicht zunehmend dünner wird, bis in einem fortgeschrittenen Stadium ein unmittelbarer Knochenkontakt zwischen Hüftkopf und Pfanne besteht.
Es wird geschätzt, dass in der Bundesrepublik 80% der über 50-jährigen degenerative Veränderungen des Hüftgelenkes zeigen.
Für Galerieansicht einfach auf die Bilder klicken.