
Zementierte Hüftendoprothesen
Bei Patienten mit stark verminderter Knochenqualität (Osteoporose) ist nach wie vor die Fixierung der Prothese mit sogenanntem Knochenzement das Verfahren der Wahl. Das Bein kann unmittelbar nach der OP vollbelastet werden. Dadurch ist häufig eine schnelle Mobilisation und Reintegration in den Alltag gewährleistet. Sekudäre Erkrankungen bei verminderter Mobilität (Thrombosen/ Embolien ect.) sollen dadurch vermieden werden.
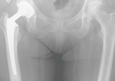
Die SP II Schaftprothese kann bei ausgeprägter Osteoporose mit einer Polyethylenpfanne gekoppelt werden (beidseitig zementiert), bei guter knöcherner Substanz pfannenseitig kann eine zementfreie Pfanne implantiert werden (Hybridprothese).
Der Erfolg der zementierten SP-II Prothese liegt in einer perfektionierten modernen Zementiertechnik. Duch eine Hochdruckwasserspülung (Jet-Lavage) wird der Knochen von Fett und losen Partikeln gereinigt.
Der Knochenzement wird unter Vakuum angerührt, um Lufteinschlüsse zu vermeiden. Es erfolgt die Einbringung des Knochenzementes unter Vakuum (modifiziertes Verfahren nach Dr. Draenert)